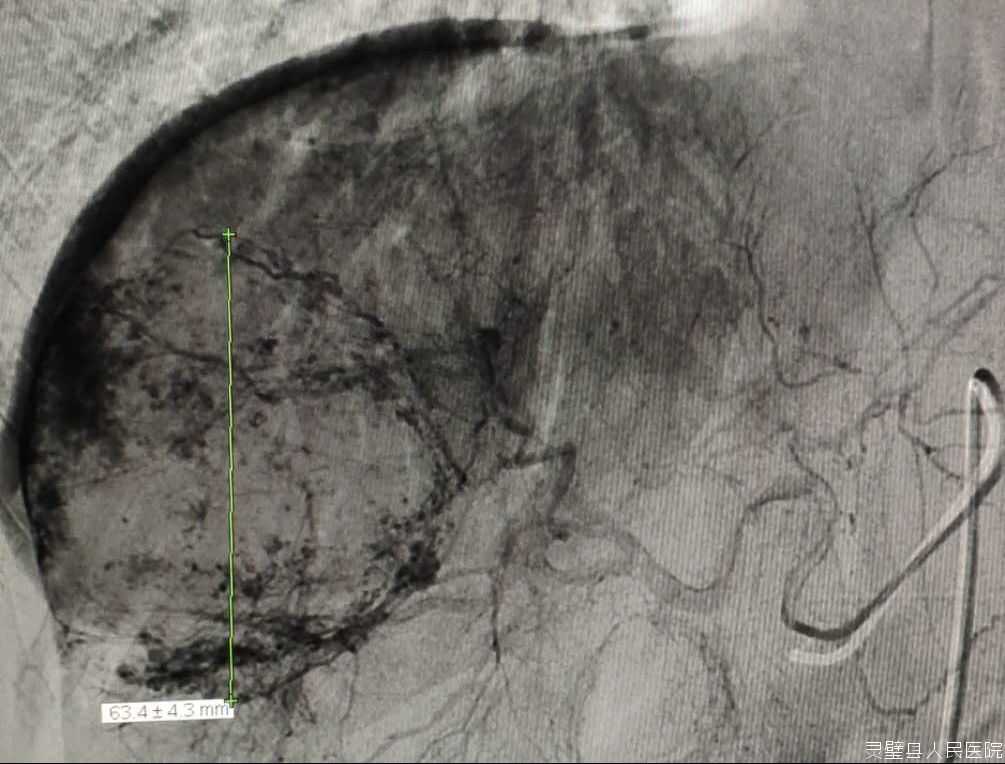
通过股动脉插管将造影剂注入肝动脉了解病变大小,将抗癌药物、栓塞剂注入肝动脉进行区域性的局部化疗治疗。介入治疗局部药物浓度较全身化疗高达数十倍,而且阻断肿瘤血供,因此双管齐下疗效好、毒性小。

目前肿瘤外科在介入治疗方面已常规开展:1.肝脏疾病的血管内介入治疗技术:肝动脉化疗栓塞术、肝动脉栓塞术,包块肝血管瘤、肝脏局灶性结节增生、肝腺瘤等;肝动脉灌注化疗术:肝癌肝动脉灌注化疗。2.肝脏疾病的非血管介入治疗技术:肝癌、胆管癌、胰腺癌、十二指肠癌等造成的梗阻性黄疸经皮穿刺胆道引流术、经皮穿刺胆囊引流术,肝脓肿穿刺引流术、肝囊肿穿刺引流硬化术。3.食管癌狭窄的支架植入术。4.下肢深静脉血栓的髂总静脉滤器植入等。


