近日,我院心内一科血管介入团队成功自行开展了首例国家集采心脏支架植入术,标志着我院心脏支架告别“万元”时代,全面进入“百元”时代,国家集采心脏支架落地灵璧!
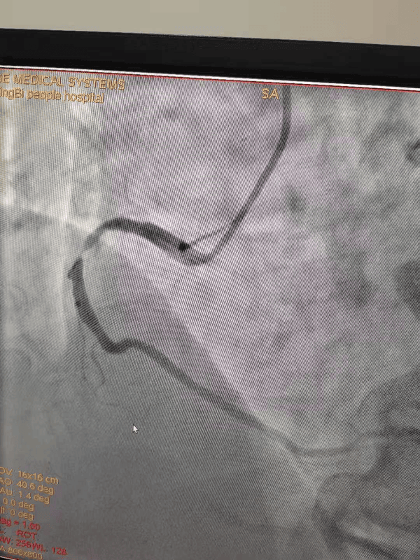
支架植入前
支架植入后
据悉,2020年,国家以冠脉支架为突破口,探索对高值医用耗材实施集中带量采购。11月,中选结果揭晓,10个品种中标,均价从1.3万元降到700元左右,与往年相比,相同企业的相同产品平均降价达93%。其中,国内产品平均降价92%,进口产品平均降价95%。医疗机构临床常用的主流产品基本中选,覆盖医疗机构意向采购量的70%以上。这批中选支架涉及到的10个品种,其中最高报价为798元,最低报价为469元。
对此,我院高度重视,心内科、药剂科等相关科室高效配合,确保集采的支架在第一时间得到了有序、充足的供应。
65岁的魏大爷因反复胸闷、胸痛入住我院心内一科,完善检查后被诊断为冠心病、心绞痛。经充分准备,予以冠脉造影+支架植入术。这是我院第一例700元左右支架手术,手术进展顺利,术中支架通过性、可塑造性、安全性均表现良好。魏大爷也幸运的成为我院第一个享受国家优惠政策的冠心病患者。
心脏支架又称冠脉支架,是用于经皮冠状动脉介入手术(PCI)的耗材。PCI手术是目前主流的治疗冠心病的方式。此次对冠脉支架的集中采购是国家以人民健康为中心,实施健康中国战略的重要举措。通过带量采购,由国家在指定厂家集中采购,降低产品采购单价,进而减轻患者经济负担,让广大冠心病患者都用得起冠脉支架,做到了真正地为患者谋福利。
(供稿/巩迎新 编辑/高松)


